张强医生集团(中国)旗下医疗机构

上 海

北 京

深 圳

成 都

济 南

天津

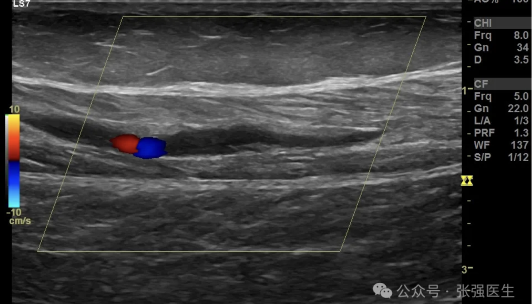
近几年,体检或彩超报告上常常会出现这样一行字:“肌间静脉可见血栓形成。”
看到“血栓”两个字,很多人瞬间慌了:“是不是要住院?会不会跑到肺里?”甚至有医生建议马上抗凝治疗。
其实,大多数情况下,这是一种被“过度紧张”的血栓。医学上称为 肌间静脉血栓(calf muscle vein thrombosis,CMVT),属于血管系统中最温和、最容易恢复的一类。
一、CMVT到底是什么?
我们的下肢静脉系统大致分三层:
-
深静脉系统:
股静脉、腘静脉——是“主干道”;
-
肌间静脉系统:
腓肠肌静脉、比目鱼肌静脉——是“支流”;
-
浅静脉系统:
大隐、小隐静脉——就是你皮肤下看到的曲张部分。
肌间静脉血栓指的是在这些小静脉支内形成的局部血块。它往往发生在感冒、久坐、外伤之后。多数血栓体积小、流速慢、局限性强,并不会脱落到肺部,也不会危及生命。

二、国际抗栓指南怎么说?
最新国际权威指南对下肢远端静脉血栓(distal DVT,包括肌间静脉)的处理有共识:

关键词:不是所有肌间静脉血栓都需要抗凝!
ASH 和 CHEST 指南明确指出:“在低危远端血栓中,‘观察 + 复查’ 与 ‘立即抗凝’ 在临床结局上差异不大,但抗凝带来的出血风险更高。”

三、为什么会被“过度治疗”?
因为“静脉血栓”听起来太吓人,而B超报告又常常只写“有血栓”,却没标明它属于哪一层。于是患者慌了,医生也不敢冒险,干脆一律上抗凝,甚至被植入腔静脉滤器。
但事实上——肌间静脉血栓的自然吸收率高达 70–90%,扩展为近端 DVT 或肺栓塞的风险 < 3%。
在这种前提下,盲目抗凝反而弊大于利:容易引起出血、淤斑、焦虑,还增加了医疗负担。植入腔静脉滤器导致系列无畏的并发症并且医疗费用和患者的焦虑,引发诸多医疗纠纷。
四、真正需要治疗的信号
肌间静脉血栓,只有以下情况并存的情况下,才建议考虑抗凝或进一步评估:
-
血栓靠近腘静脉、范围 > 5 cm;
-
下肢明显肿胀、疼痛持续;
-
D-dimer 升高明显;
-
存在肿瘤、术后、长期卧床、口服激素或雌激素药物等高危因素。
五、患者可以做的三件事
-
别慌:
肌间静脉血栓是“低风险静脉血栓”,可复查观察。
-
别乱治:
抗凝药物必须医生评估后决定,不能“先吃着试试”。
-
要动:
多走路、伸展小腿、喝水、控制体重,就是最好的“抗栓疗法”。
六、结语:让医学回归理性
在“闻栓色变”的时代,我们更该学会区分危险与概率、病变与病情。
医学不是制造恐惧,而是提供理解。只要血流在动、理念在更新、医生在思考——那些被“过度治疗”的良性血栓,就能被温和、科学地去应对。
温馨提示:本文内容仅用于提供科普和专业信息,不能替代专业医生的诊断与治疗。VaricoSeek 为健康辅助工具,提供内容仅作信息参考,不构成医疗诊断或替代医生面诊建议。文中插图为示意图,非真实患者,部分为AIGC。具体诊疗与出行安排请遵医嘱。
预约张强医生集团各地CHIVA中心(思俊诊所)门诊与手术、了解静脉曲张的最新治疗方法、患者治疗体验,以及张强医生集团医生团队的最新动态
请长按以下图片关注官方服务号

长按以下图片立即咨询
首个静脉曲张AI智能体

张强医生集团简介
ABOUT US
张强医生集团(Dr. Smile Medical Group),成立于2014年7月1日,总部设在上海,法定机构为上海张强医疗科技股份有限公司。集团创始人是中国著名血管外科专家张强医生。目前,集团在上海、北京、深圳、成都、济南和天津等城市设有自营及合作的静脉曲张CHIVA中心,这些中心配备了先进的血流动力学评估设施和全职的专业医疗团队,提供符合国际标准的高质量诊疗服务。2023年,集团在非洲设立了首个海外CHIVA中心。2024年,美国Dr. Smile Medical Group投入运营,并全面启动国际化进程。2025年,集团在纽约曼哈顿设立美国总部及管理服务组织(MSO),完成NPI注册,正式取得美国医疗服务提供者身份编码,为CHIVA中心在美落地奠定基础,标志着CHIVA理念迈入美国医疗体系。
张强医生集团是发起和参与负责全球专项临床技术—CHIVA国际认证的中国医生团队,同时属于国家级静脉病专业委员会的主委单位,并负责主办静脉病国家级医学继续教育项目。作为国际静脉病论坛(GVF)、思俊国际静脉病学院线上教育主办方,张强医生团队在国内最早应用多项静脉曲张微创治疗技术,包括内镜交通静脉阻断术(SEPS)、静脉腔内射频消融(RFA)、CHIVA等,2017年全面启用CHIVA替代其他微创疗法。
张强医生集团成功将传统下肢静脉曲张可能长达数天的住院治疗,缩短成为一小时左右的CHIVA门诊治疗,目前下肢静脉曲张微创治疗已服务两万余例。
张强医生集团是发起和参与负责全球专项临床技术—CHIVA国际认证的中国医生团队,同时属于国家级静脉病专业委员会的主委单位,并负责主办静脉病国家级医学继续教育项目。作为国际静脉病论坛(GVF)、思俊国际静脉病学院线上教育主办方,张强医生团队在国内引入和应用多项静脉曲张治疗技术,包括内镜(SEPS)、静脉腔内射频消融、CHIVA等。
张强医生集团成功将传统下肢静脉曲张可能长达数天的住院治疗,缩短成为一小时左右的CHIVA门诊治疗,患者术后无需再穿弹力袜,目前下肢静脉曲张微创治疗已服务两万余例。
(下滑了解更多)
